Dr. Mario Catañeda
Odontólogo con más de 10 años de experiencia en el campo de la odontología general y estética. Especializado en tratamientos de ortodoncia, implantes dentales y blanqueamiento dental. Comprometido con brindar atención de calidad centrada en el paciente y resultados excepcionales.




Educación
Doctor en Odontología, Universidad Nacional Autónoma de México (UNAM), México, Año de Graduación
Especialización en Ortodoncia, Instituto de Estudios Superiores en Odontología (IESO), México, Año de Graduación

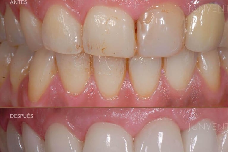
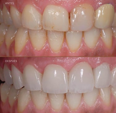
Como especialistas en odontología estética, nos dedicamos a crear sonrisas radiantes que reflejen la belleza única de cada persona.
Nos enfocamos en escuchar tus necesidades y deseos, y trabajar contigo para crear un plan de tratamiento personalizado que se ajuste a tu estilo de vida y presupuesto.
Testimonios
"Estoy encantada con el resultado de mi tratamiento de blanqueamiento dental. Ahora tengo una sonrisa más brillante y segura que nunca." - Ana
"Los implantes dentales que recibí en la clínica del Dr. Martínez han cambiado mi vida. Por fin puedo comer, hablar y sonreír sin preocupaciones. Recomiendo a este equipo altamente profesional a todos mis amigos y familiares." - Juan
"Siempre fui consciente de mis dientes torcidos, pero gracias a los tratamientos de ortodoncia invisibles del Dr. Martínez, finalmente tengo una sonrisa perfectamente alineada. ¡No puedo dejar de sonreír!" - María


En nuestra clínica, nos enorgullece ofrecer una gama completa de tratamientos de odontología estética, respaldados por la última tecnología y realizados por un equipo de expertos apasionados por su trabajo.
¿Listo para transformar tu sonrisa?
¡Reserva hoy tu consulta inicial y da el primer paso hacia una sonrisa más radiante y segura!


Dirección
Rio Amazonas y Orellana Edificio Matrix II Consultorio 23a Piso 3
Teléfono 098765654
E-mail odontocastañeda@gmail.com
¡No esperes más para lucir la sonrisa que siempre has deseado!
